爱美的“集美们”
你们平时化妆时
是不是为了妆容精致不脱妆
定妆喷雾总爱反复喷
总觉得喷得越勤、妆越持久
但是,请注意
一化妆就离不开的定妆“神器”
用不对竟把自己“作”到住院
事情是这样的↓
近日,浙江杭州22岁的网络主播小江(化名),因为需要长时间直播带货,保持精致持久的妆容,故每天使用两次定妆喷雾,在坚持了近半年后,竟然因此住进了医院。
22岁主播天天喷定妆喷雾
不幸患肺炎
据介绍,小江就诊时高烧超过40℃,血常规检查显示白细胞、中性粒细胞、CRP(C-反应蛋白)均明显升高,嗜酸性粒细胞也显著偏高。
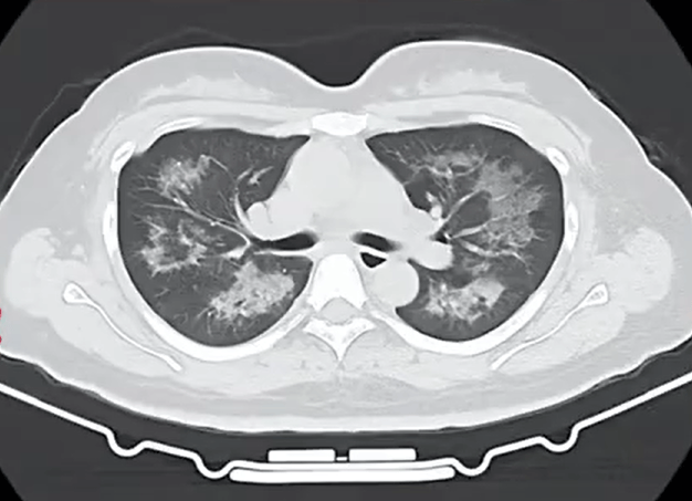
胸部CT进一步显示
她的双肺出现多发斑片状模糊影,被诊断为间质性肺炎。
医生判断
病因很可能与她长期接触的某类物质有关。经过反复细致地询问病史,小江才说出自己有长期、频繁使用定妆喷雾的习惯。

所幸,在接受对症治疗三天后,小江的血常规指标恢复正常,肺部炎症也快速吸收。
挥发性化学成分
可能诱发不良反应
医生提醒
定妆喷雾中含有大量挥发性化学成分,这些物质被吸入后可直接作用于肺部细胞,造成细胞损伤。
临床上,轻症患者可能只出现咳嗽、咳痰、喘息等症状;若易感人群短期内大量吸入这类致敏性物质,就可能诱发过敏性肺炎,严重时甚至发展为呼吸衰竭,必须高度重视。
相关话题迅速登上微博热搜
引发网友热议
↓↓↓

不少网友感到害怕
自己平常也有用喷雾的习惯
↓↓↓

有网友表示自己也是
因为使用喷雾导致肺部出现问题
↓↓↓

还有网友表示
每次使用喷雾都会憋气
↓↓↓

其实,不止定妆喷雾
杀虫剂、空气清新剂等各类化学喷雾制剂
使用时都可能
让人体不慎吸入含挥发性有机物
本身患有慢性荨麻疹、过敏性鼻炎等过敏性基础病的人群,应尽量避免使用化学喷雾类产品。在使用过程中的皮肤黏膜接触、微粒吸入肺部,都可能引发严重过敏反应,甚至导致呼吸困难、危及生命。
Q
那定妆喷雾是不是就不能用了呢?
当然不是!如果确实需要使用喷雾类产品,需要用对方法!
A
◀
正确使用喷雾类产品
▶
1
尽量在开阔、通风良好的环境下操作;
2
避免对脸直喷,可先喷在美妆蛋或刷具上再上脸;
3
气雾瓶应远离热源,避免摔打碰撞;
4
使用后如出现持续咳嗽、胸闷、发热等不适,应及时就医并告知医生近期喷雾接触史。